Más leídas

| Pág. 2
Centros de formación compiten con carreras cortas y bien remuneradas

| Pág. 15
Tras tu huella de hombre sabio, libre y feliz

| Pág. 23
"Pampita" encontró a Vicuña con su compañera de reparto

| Pág. 12
La OCDE destacó la creación de nueva agencia para atraer inversión externa

| Pág. 14
Cardenal venezolano pide "rectificar" política en su país

| Pág. 15
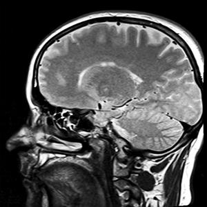
Una investigación canadiense revela que existen diferentes patrones cerebrales para recordar un hecho con detalles

| Pág. 16
Danicelly Vallejos
| Pág. 16
Sabella según Volodia

| Pág. 22
Guagua cochina de la Navidad

| Pág. 24
Danilo Villalobos se quedó por tercera vez con la "Clásica Antofagasta-Mejillones"

| Pág. 11
Profesores anuncian una marcha por la deuda histórica para el jueves

| Pág. 25
El complejo Torneo de Clausura 16' que espera al CDA

| Pág. 25
Luis Enrique habló sobre la rotación de arqueros en el Barcelona

| Pág. 25
Palestino es el primer finalista

| Pág. 26
Hoy

| Pág. 26
La UC se "vengó" de Audax Italiano

| Pág. 26
"Es cosa de ver el torneo para darse cuenta que el rival a vencer era Cobreloa"

| Pág. 27
Escudería Mercedes insiste en sus advertencias a Hamilton y Rosberg

| Pág. 27
Wenger pone en duda a Sánchez para el duelo frente al City

| Pág. 12
El mercado apuesta por una posible alza de tasas de la Fed en su cita del miércoles

| Pág. 11
Oficialismo apoya dichos de intendente sobre La Araucanía

| Pág. 2
Tras fallida concesión, MOP licita arreglos en la ruta a Calama

| Pág. 7
Todo listo para simulacro de emergencia en mina subterránea

| Pág. 4
Fiscal de homicidios deja el cargo y sus 24 casos serán reasignados

| Pág. 4
SSA invirtió casi $2 mil millones en vehículos para los hospitales

| Pág. 5
Piden al Ejecutivo liberar a Salud de la obligación de custodiar droga

| Pág. 5
Estudio realizado en Perú vincula medusas con fenómeno El Niño

| Pág. 5
Verano trae calor sobre lo normal y rayos UV extremos

| Pág. 6
PS realizará primarias para elegir entre tres precandidatos

| Pág. 7
Alertan paralización de algunas mineras en caso de bajar el cobre a US$ 1,8 la libra
| Pág. 8
Frases
| Pág. 11
MEO declara hoy como imputado ante la Fiscalía por presuntos delitos tributarios
| Pág. 8
Necesidad de tiempo libre
| Pág. 8
Nuestro archivo

| Pág. 8
Una oportunidad para la rehabilitación urbana
| Pág. 9
En Twitter: #antofagasta

| Pág. 9
Comentarios en la web
| Pág. 9
Correo

| Pág. 10
La CUT acusa al Gobierno de "faltar a la confianza" por envío de indicaciones

| Pág. 10
Díaz garantiza inicio de la gratuidad y afirma que buscan cómo aplicarla
| Pág. 27
Messi y la final de la Copa América: "La pasamos mal en la selección"
































